Reviews & Testimonials of Our Patients
The honest review from our client
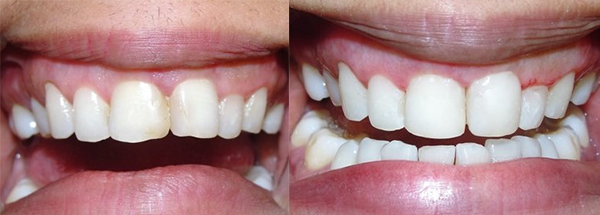
Our Dental Clinic is a place where you feel confident with your smile. Since every person’s dental needs are unique, we dedicate time to understand your needs to provide the best appropriate treatment for your complete oral health that is pain free, comfortable and satisfied treatment.
“Great service and treatment every time. Livy Dental is the best. Super friendly and professional.”
Jason M.
2 months ago
“It was an excellent experience with no hidden surprises. The procedure was not stressful and every step was carefully executed.”
Lily C.
1 month ago
“Outstanding place to go for your dental needs. Very friendly atmosphere go out of their way to provide you with the services you need.”
Sergio M.
4 months ago





Become the next our happy client
Our team of dentists and dental professionals have helped many patients transform their lives through dentistry.